SIK SORULAN SORULAR / Cerrahi

+ Ağız, Diş ve Çene Cerrahisi Hangi İşlemleri Gerçekleştirir?
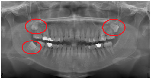
+ Yirmi yaş dişleri ne zaman çekilmelidir?
1) Çürük: 20 yaş dişleri geride olduğundan ve pozisyonlarının durumundan dolayı genellikle zor temizlenir ve çok kolay çürürler. Bu dişlerin anatomik yapılarından dolayı çoğunlukla kanal tedavisi yapılamamaktadır ve çekilmektedir.
2) Diğer dişleri sıkıştırması: 20 yaş dişlerinin düzgün pozisyonda sürmemesinden dolayı ön dişlere yaptığı basınçla bu dişlerin zamanla yer değiştirmesine neden olmakatadır. Ayrıca 20 yaş dişlerinin eğimli konumlanması bakteri birikimine ve önündeki dişin de çürümesine neden olmaktadır.
3) Perikoronitis (çevre dişetinin iltihabı): 20 yaş dişleri kısmen gömük kaldıkları durumlarda üstündeki dişetiyle arasında biriken bakterilerin yol açtığı bir enfeksiyon gelişebilir. Bu esnada yüzde şişme, ağız açmada zorluk, ağrı, ağız kokusu, lenf bezlerinde şişlik ve ateş gibi durumlar görülebilir.
4) Yanak ısırma: 20 yaş dişleri genelde normal pozisyonda süremediklerinden hastalarda yanak ısırması ve mukozada yaralanmaları oluşabilir. Böyle durumlarda 20 yaş dişleri normal fonksiyon da görmediklerinden çekilmesi uygundur.
5) Kist oluşumu: 20 yaş dişleri tam olarak gömülü oldukları veya kısmen gömülü oldukları durumlarda bazı hastalarda kist oluşumuna sebep olabilmektedirler. Bu durum muayene esnasında hekiminizin çekeceği panoramik röntgenle teşhis edilebilmektedir.

+ Apikal Rezeksiyon nedir? Ne zaman yapılır?
+ Sinüs lifting nedir? Ne zaman uygulanır?




